L’Orthodonthie
Bioprogressive & Pluridisciplinaire
by Dr Kozam TAHORA
Notre Philosophie
Nous traitons le visage entier selon les principes de Ricketts. Chaque traitement commence par une analyse VTO complète.
Technologies Avancées
Rencontrez la fusion entre la biologie et la Tech’
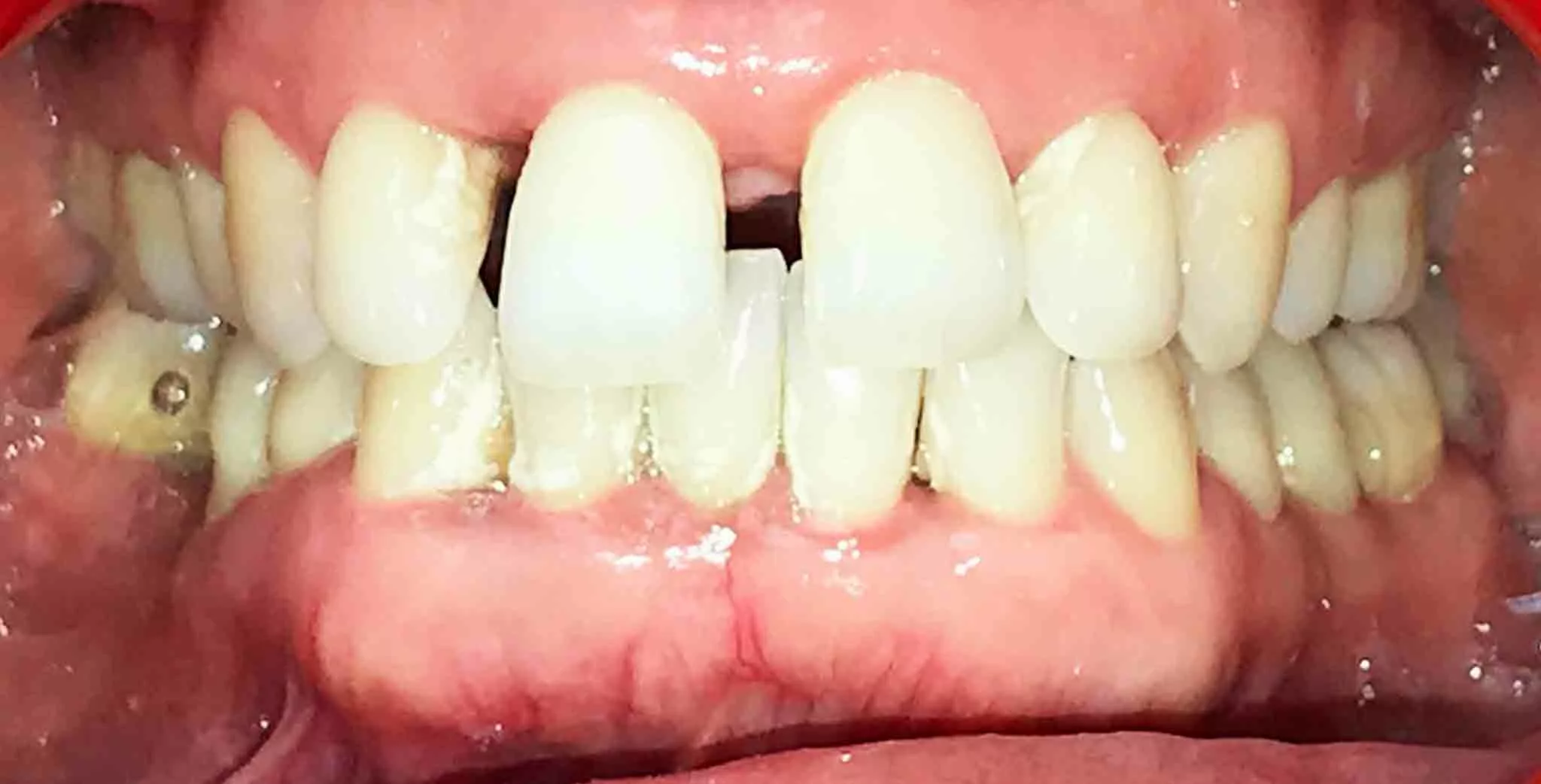
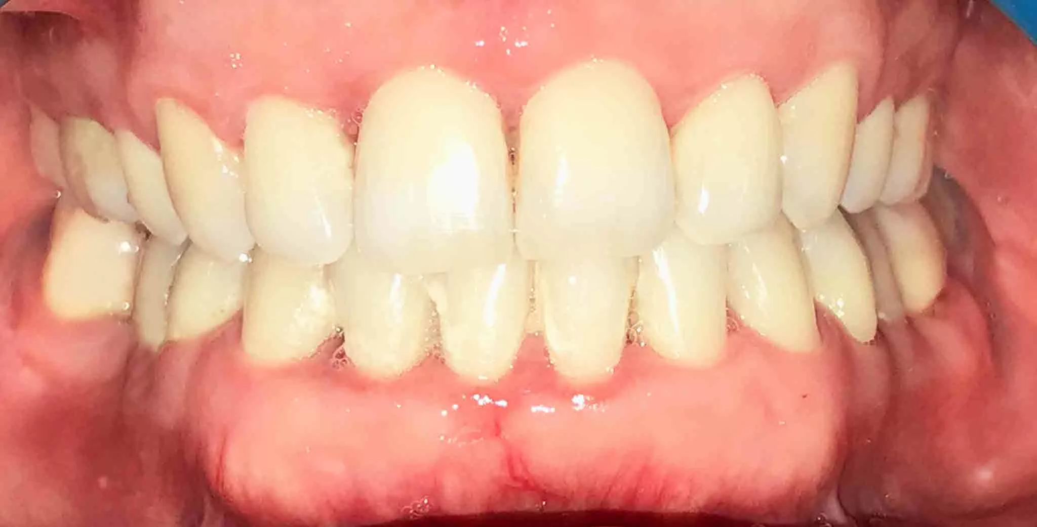
Appareillages
Nos traitements sont servis par une planification
L’Orthodonthie Fonctionnelle
Quis blandit erat. Donec laoreet libero non metus volutpat consequat in vel metus. Sed non augue id felis pellentesque.
Adult Care
Child Care
Orthodontic Care
Orthodontic Operations
Family Care
We are A Full Service Dentistry Practice
Vitae consequat augue. Vivamus eget dolor vel quam condimentum sodales in bibendum odio urna sit amet. Luctus lectus non quisque turpis bibendum posuere. Morbi tortor nibh, fringilla sed pretium sit amet. Fermentum nulla non justo aliquet, quis vehicula quam consequat duis ut hendrerit.
